• ホーム
  • お知らせ
  • スタッフ
  • 診療案内
  • 治療詳細
  • アクセス
  • リンク
  • くろまめ日記

■患者さんの訴え

「噛めない」との訴えでした。

 

■治療内容

根っこだけになり保存不可能となった左下第二大臼歯を抜歯して顎の骨に埋まっていた親知らずを移植した。

 

■治療経過所見

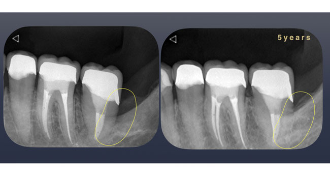
口腔内は奥歯で噛める箇所がほとんどない状態で受診され口の中全体を長期にわたって治療した。そのうちの1箇所であるがインプラントや入れ歯でなく自身の歯で噛めるようになった。移植した歯の後方に骨が回復しているのが確認できる。

 

被せ物装着時と移植5年後のレントゲン写真を比較すると○部に骨が再生されているのが確認できる。インプラント治療ではこのように骨を作ることは不可能である。「歯根膜」を有する自身の歯を利用した移植治療ならではである。

■備考 

将来的にアンキローシス(骨性癒着)・外部吸収・歯根破折が起きる可能性があります。
上顎臼歯部では、上顎洞が近接している場合には適応外となる場合もあります。
上顎への移植は術後に上顎洞炎が起きるリスクがあります。
親知らずの形態はCTにより術前に確認いたしますが歯根形態によっては手術中断の可能性があります。
一部付着が得られない場合は部分的に歯周ポケットが深くなる可能性があります。
清掃しにくい場合には、補綴治療によって改善が必要になります。
喫煙は歯肉の血流を阻害し、失敗のリスクが上がるため禁煙を勧めております。

  • 症例写真 歯周病
  • 自費診療料金
  • インプラント
  • 矯正治療
  • 歯根端切除術
  • 歯牙移植
サイトマップ
ログイン ログアウト | 編集
  • ホーム
    •  患者さんへの約束  ポリシー
    • ※キャンセルについて
    •  院内紹介
    • メンバー募集
  • お知らせ
  • スタッフ
  • 診療案内
  • 治療詳細
    • 症例写真 歯周病
    • 自費診療料金
    • インプラント
    • 矯正治療
    • 歯根端切除術
    • 歯牙移植
  • アクセス
  • リンク
  • くろまめ日記
  • トップへ戻る
閉じる