• ホーム
  • お知らせ
  • スタッフ
  • 診療案内
  • 治療詳細
  • アクセス
  • リンク
  • くろまめ日記

筋機能訓練


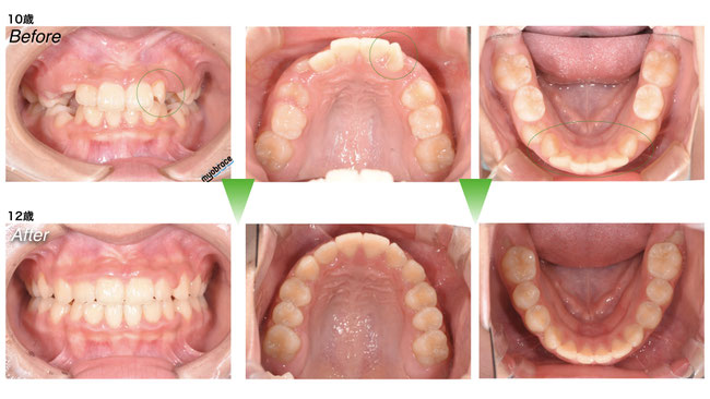
■患者さんの訴え

「歯が横向きに生えてきた」

 

■治療内容

マイオブレイス就寝時装着

日中1時間装着(うち2分間鼻呼吸トレーニング)

 

■治療経過所見

左上側切歯がおよそ90度回転して萌出してきている。下顎前歯には叢生も認めたがマイオブレイス装着と鼻呼吸トレーニング、嚥下訓練にて2年間で改善された。

■備考

女子の理想的な治療開始時期よりは遅めのスタート(10歳治療開始)であったが患者さんも家族も治療に極めて協力的で本人のもともと成長するはずだった分の顎の成長が得られたと考えられる。

左上側切歯にはわずかに捻転残っているが本人も家族もブラケット(歯面に装着する金属の矯正器具)を使用しての矯正治療は望まなかった。

 

※口呼吸などの悪い習癖があると再度歯並びが悪くなる可能性があります。

歯並びにアプローチする治療法ではないので顎の成長は認められたが結果としての歯並びの改善が得られない場合もあります。

同じような歯並びでも矯正治療の結果は患者さんにより個人差があります。

 

症例一覧へ⇨

 

  • 症例写真 歯周病
  • 自費診療料金
  • インプラント
  • 矯正治療
  • 歯根端切除術
  • 歯牙移植
サイトマップ
ログイン ログアウト | 編集
  • ホーム
    •  患者さんへの約束  ポリシー
    • ※キャンセルについて
    •  院内紹介
    • メンバー募集
  • お知らせ
  • スタッフ
  • 診療案内
  • 治療詳細
    • 症例写真 歯周病
    • 自費診療料金
    • インプラント
    • 矯正治療
    • 歯根端切除術
    • 歯牙移植
  • アクセス
  • リンク
  • くろまめ日記
  • トップへ戻る
閉じる