• ホーム
  • お知らせ
  • スタッフ
  • 診療案内
  • 治療詳細
  • アクセス
  • リンク
  • くろまめ日記

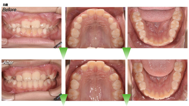
筋機能訓練+MTM


■患者さん(保護者)の訴え

「前歯がガタガタしている」

 

■治療内容

マイオブレイス就寝時装着

日中1時間装着(うち2分間鼻呼吸トレーニング)

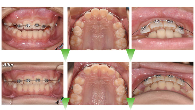
左側2番目上下前歯の反対の噛み合わせが治らなかっため一時的(2ヶ月間)だけブラケット矯正装置装着

 

■治療経過所見

上下顎前歯に叢生を認めたがマイオブレイス装着と鼻呼吸トレーニング、一時的なブラケットによる矯正治療で改善された。筋機能訓練にて顎の成長を促すことで抜歯せずに歯列不正なく歯を並べることができた。一時的な矯正装置の装着もあったが効果的なタイミングで行うことで装着期間を極めて短く(2ヶ月間)することができた。

■備考

女子の理想的な治療開始時期(10歳治療開始)であり患者さんも家族も治療に極めて協力的で本人のもともと成長するはずだった分の顎の成長が得られたと考えられる。

左上側切歯の反対の噛み合わせもブラケットによる限定的な矯正治療で改善された。

乳歯から永久歯への生え変わりのタイミングを利用することができ4年間の治療期間となったが綺麗な歯並びを獲得することができた。

 

※口呼吸などの悪い習癖があると再度歯並びが悪くなる可能性があります。

歯並びにアプローチする治療法ではないので顎の成長は認められたが結果としての歯並びの改善が得られない場合もあります。

同じような歯並びでも矯正治療の結果は患者さんにより個人差があります。

 

症例一覧へ⇨

 

  • 症例写真 歯周病
  • 自費診療料金
  • インプラント
  • 矯正治療
  • 歯根端切除術
  • 歯牙移植
サイトマップ
ログイン ログアウト | 編集
  • ホーム
    •  患者さんへの約束  ポリシー
    • ※キャンセルについて
    •  院内紹介
    • メンバー募集
  • お知らせ
  • スタッフ
  • 診療案内
  • 治療詳細
    • 症例写真 歯周病
    • 自費診療料金
    • インプラント
    • 矯正治療
    • 歯根端切除術
    • 歯牙移植
  • アクセス
  • リンク
  • くろまめ日記
  • トップへ戻る
閉じる