• ホーム
  • お知らせ
  • スタッフ
  • 診療案内
  • 治療詳細
  • アクセス
  • リンク
  • くろまめ日記

筋機能訓練

歯列不正となる原因は「顎の大きさ」と「歯の幅の合計」のバランスの悪さによるものと考えられております。成長が止まり「顎の大きさ」が変わらない成人の矯正治療は「歯の幅の合計」を小さくするために抜歯により「歯の幅の合計」を小さくすることで歯並びを整えていくことが多いです。

成長段階の子供では「顎の大きさ」が大きくなる余地が残っていますので「歯の幅の合計」を小さくするのではなく(抜歯をしないで)「顎の大きさ」にアプローチすることで「顎が大きくなることで結果として歯が並ぶ」というところを目指したいと考えております。

本来その子供が持っている「顎の大きさ」を目指して治療していくこととなります。具体的には顎の成長を妨げるような呼吸方法、飲み込み方、唇を巻き込むような癖などへアプローチしてその子のもともと持っている顎の大きさを治療ゴールに設定します。

当院ではマイオブレイスと呼ばれるマウスピース様の装置を夜間就寝時、日中1時間(うち2分間鼻の呼吸トレーニング)まずは行ってもらいます。その後はその子にあった訓練をしていただくようになります。


口呼吸・叢生の治療【筋機能訓練】

■患者さんの訴え

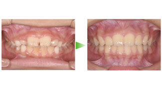
「歯が横向きに生えてきた」

■治療内容

鼻呼吸の訓練、悪習癖除去、歯に装着する矯正器具の使用なし

続きを見る⇨


口呼吸・叢生の治療【筋機能訓練】

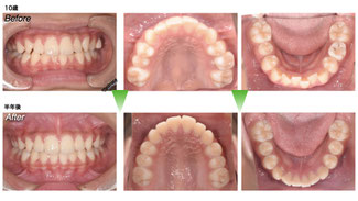
■患者さん(保護者)の訴え

「下の前歯がガタガタ」

■治療内容

鼻呼吸の訓練、悪習癖除去、歯に装着する矯正器具の使用なし

続きを見る⇨


口呼吸・叢生の治療【筋機能訓練】+【MTM】

■患者さん(保護者)の訴え

「前歯がガタガタ」

■治療内容

鼻呼吸の訓練、悪習癖除去、歯に装着する矯正器具の併用(2ヶ月)あり

続きを見る⇨

  • 症例写真 歯周病
  • 自費診療料金
  • インプラント
  • 矯正治療
  • 歯根端切除術
  • 歯牙移植
サイトマップ
ログイン ログアウト | 編集
  • ホーム
    •  患者さんへの約束  ポリシー
    • ※キャンセルについて
    •  院内紹介
    • メンバー募集
  • お知らせ
  • スタッフ
  • 診療案内
  • 治療詳細
    • 症例写真 歯周病
    • 自費診療料金
    • インプラント
    • 矯正治療
    • 歯根端切除術
    • 歯牙移植
  • アクセス
  • リンク
  • くろまめ日記
  • トップへ戻る
閉じる